发布时间:2020-11-20
作为一个成年人,谁还没体会过腰酸背痛呢?站久了腰痛,睡姿不对背痛 。腰酸背痛的原因多种多样,腰椎劳损或者是运动损伤,都会导致这些地方痛,但是引起27岁的扎西(化名)背痛的原因,竟是藏匿着不被察觉的疾病——脊柱结核。
这病若不及时治疗,还会慢慢“侵蚀”脊椎骨,很可能引发瘫痪、大小便失禁。
胸背痛半年贴膏药,没想到差点瘫痪
“这次生病是从1年前开始的,刚开始的时候只是有一点点胸背痛,我就吃点中药、用点止痛贴膏,能暂时缓解一下,我就没有太在意。没想到病情越来越重,体重减轻了不少,还每天都低烧。”扎西提起这次生病心有余悸。
原来,27岁的扎西(化名)是一位藏族姑娘。近一月来胸背疼痛加重、并伴有咳嗽。先后去了成都某二甲医院住院治疗,但效果并不明显。胸背疼痛更是逐渐加重,家人很是担忧。
结核病大家都有听说,结核病菌可以侵犯全身多个器官,除了肺结核,还会感染其他器官和部位,如骨结核。其中最常见的就是脊柱结核。
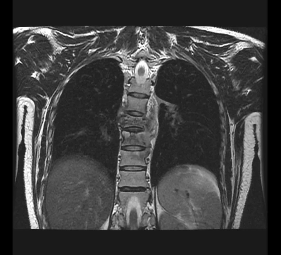
脊椎好像被 “吃掉了”
女孩四节脊椎被结核病菌侵蚀
扎西来到成都新华医院骨科黄永红主任处就诊,CT核磁共振检查结果如黄主任所料扎西拉姆第6、7、8、9椎体被严重侵蚀,腰椎就好像被“吃掉了”;此外,椎体周围还形成了大量脓肿,对脊髓及神经造成压迫。


扎西的“脊椎结核”已经严重影响了脊柱的稳定性,“结核病灶在椎体内扩散,如不及时处理,会进一步侵犯脊椎椎体、椎管,压迫神经,进一步加重下肢乏力,甚至引起瘫痪、大小便失禁等后果”黄主任介绍。
实施高难度骨科手术
清除病灶、重建脊柱
手术必须尽快完成,但手术的难度也不小。由于结核病菌的侵蚀,扎西的脊椎体已经出现压缩塌陷、并压迫了椎管神经,手术需要在保护好脊髓和神经的前提下,切除病变的椎体;这个操作本身就存在非常高的神经损伤风险。
与此同时,病灶的清除也需要十分彻底,否则残余的病灶还可能迁延到其他部位,这需要医者在术中非常仔细。把病变椎体切除后,脊柱的稳定性需要重建,这就需要使用合适大小的椎间支撑体及螺钉辅助固定,若对植入物选材不当还会增加手术远期失败及二次手术的风险。手术的风险和难度不小,如果因技术问题不慎伤及神经导致瘫痪,这对于病人来说无疑是灾难性的。
术前,黄永红带领的骨科团队进行了周密的术前规划,手术当天,骨科主任黄永红主刀,为扎西实施了经前路胸6/7/8/9椎体结核病灶清除、椎管减压、钉棒系统+取自体植骨融内固定术、胸腔闭式引流术,历时6个多小时,顺利为扎西清除脊柱结核病灶,并重建脊柱。

术后一周,扎西已经可以下地练习走路了。“我感觉腿脚的力量跟术前比要好很多,胸背痛也缓解了不少。”她开心地说到。出院时黄主任叮嘱病人:“现在手术成功了,但不能松懈下来,回去以后要继续抗结核治疗,记得定期复查!现在,扎西已经完全康复。

警惕“脊柱结核”,及时就医

脊柱结核好发于人体的腰椎部位,除腰部疼痛症状外,尤其在咳嗽、震动或翻身时疼痛加重,卧床休息时疼痛减轻。
黄永红提醒,午后潮热、盗汗、体重下降、全身乏力 这些症状是结核病的常见症状,如出现上述症状建议及时就医排查。
若确诊有骨结核、脊柱结核、出现结核脓肿,不要紧张,若暂无神经受压受损的表现,比如下肢乏力等,建议可口服抗结核药物治疗控制结核病情,待结核病情稳定,血沉下降后,可根据具体情况考虑是否要进行进一步的手术治疗。

成都新华医院骨科主任黄永红于1990年从第一军医大学临床医学专业毕业。任第八、九、十届全军骨科专业委员会委员,中国修复重建外科学会西藏分会常委,中华医学会西藏分会创伤专业委员会委员,中国康复医学会修复重建外科专业委员会周围神经外科学组委员,(中国矫形外科杂志)编委,(中国骨与关节损伤杂志)特邀编委,西藏自治区保健组成员。
1999年2月至2000年2月选送至南方医院脊柱骨病科专业培训。2011年晋升主任医师,原西藏军区总医院全军创伤中心副主任,脊柱外科主任,从事大骨科临床工作28年,专业从事脊柱骨盆及关节外科13年。具有丰富的临床经验。
参与编写论著三篇,在(中华手外科杂志),(中国矫形外科杂志)等核心期刊发表论文20余篇。完成自治区课题2项。专业擅长:脊柱退变性疾病、脊柱畸形、脊柱脊髓损伤的治疗及微创手术、脊柱四肢畸形矫治、四肢复杂骨折的治疗等。
编辑:宋岸滨
审核:韩金
校对:高利平
川公网安备51010402000942号